Introduction à la biologie cellulaire

Exercices

 Exercices - Mitose / Méiose

Séance de TP - Boîtiers de vote

1- Identifiez la phase du cycle cellulaire

A- Prophase, B- Anaphase, C- télophase, D- Interphase, E- Métaphase

 


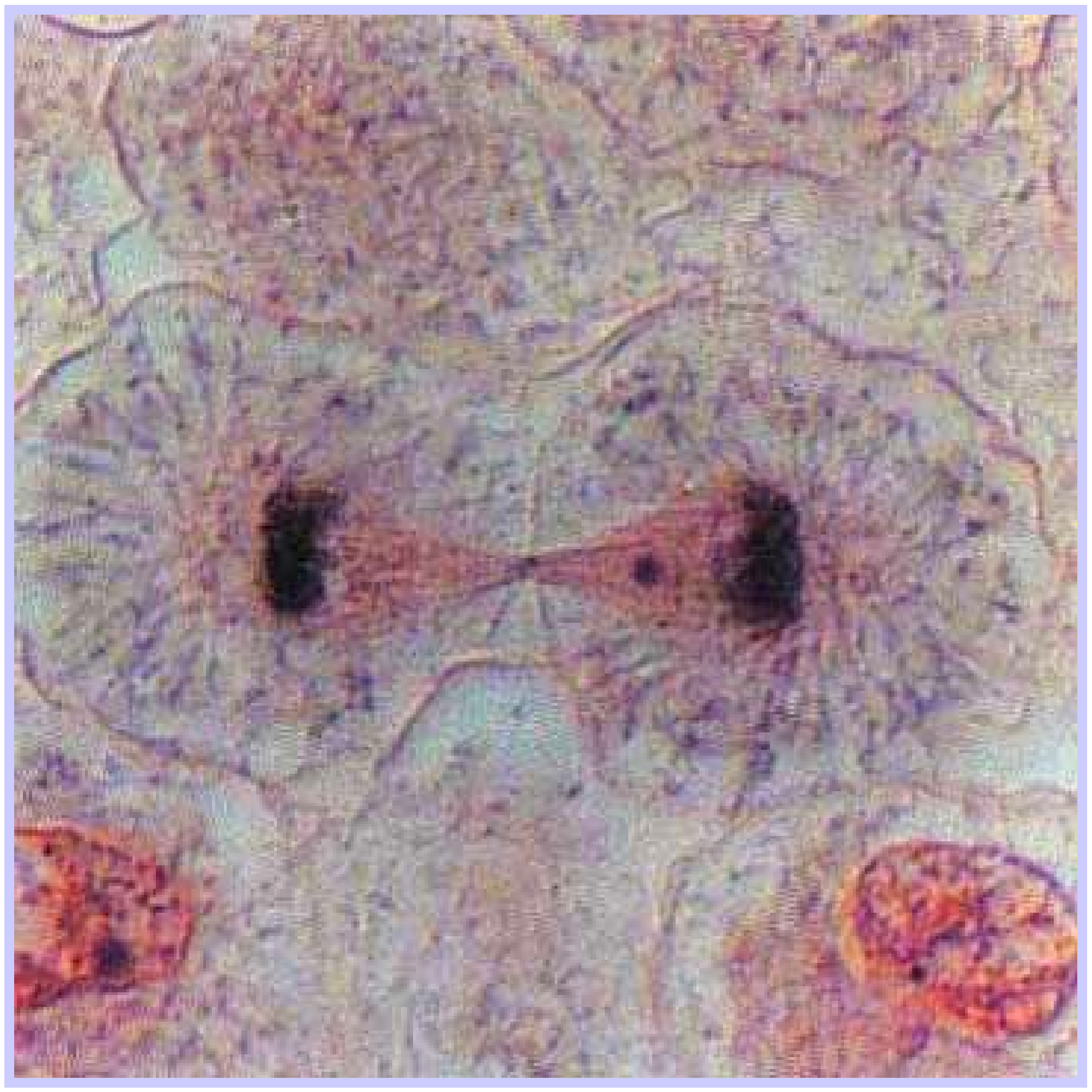
2- Identifiez la phase du cycle cellulaire

A- Prophase, B- Anaphase, C- télophase, D- Interphase, E- Métaphase, F-Cytocinèse


3- Identifiez la phase du cycle cellulaire

A- Prophase, B- Anaphase, C- télophase, D- Interphase, E- Métaphase

 


4 - Identifiez la phase du cycle cellulaire

A- Prophase, B- Anaphase, C- téllophase, D- Interphase, E- Métaphase

 


5a- Identifiez la phase du cycle cellulaire

 A- Prophase, B- Anaphase, C- téllophase, D- Interphase, E- Métaphase, F- Cytocinèse, G- Cytodiérèse

5b- Quelle affirmation correspond a ce qui se déroule dans cette cellule?

A- Les celllules filles seront identiques entre-elles

B- Les cellules filles seront identiques à la cellule parentale

C- On ne sait pas prévoir

D- A et B


6- Quelle est la séquence correcte des différentes étapes du cycle cellulaire chez les Eucaryotes?

A- G1-M-S-G2-Cytocynèse

B- G1-G2-S-M-Cytocynèse

C- G1-M-G2-S-Cytocynèse

D- G1-S-G2-M-Cytocynèse


7- Une cellule diploïde (2n=12) contient en prophase de la mitose:

A- 2n chromosomes, 24 chromatides et 4 compléments d'ADN

B- 4n chromosomes, 24 chromatides et 4 compléments d'ADN

C- n chromosomes, 12 chromatides et 1 complément d'ADN

D- n chromosomes, 12 chromatides et 2 compléments d'ADN

E- 2n chromosomes, 12 chromatides et 1 complément d'ADN


8- Une cellule haploïde (n=8) contient en métaphase de mitose:

A- 2n chromosomes, 8 chromatides et 1 complément d'ADN

B- n chromosomes, 8 chromatides et 1 complément d'ADN

C- 2n chromosomes, 16 chromatides et 2 compléments d'ADN

D- 2n chromosomes, 16 chromatides et 1 complément d'ADN

E- n chromosomes, 16 chromatides et 2 compléments d'ADN

F- cette question n'a pas de sens car les cellules haploïdes sont incapables de se diviser par mitose


9-Le dessin suivant représente:

A- Une cellule diploïde où n=2 en phase G1

B- Une cellule haploïde où n=4 en phase G1

C- Une cellule où n=2 en G2

D- Une cellule diploïde où n=1 en G2


10- La cellule suivante

A- Représente une cellule haploïde où n=3 en G2

B- Doit d'abord répliquer son ADN avant de pouvoir subir une mitose

C- Contient les différents gènes en 4 exemplaires et possède donc 4 compléments d'ADN

D- Représente une cellule diploïde où 2n=6 en G1


11- Sachant que x représente la quantité d'ADN contenue dans chaque cellule et Y le nombre de cellules, dans quelle phase dy cycle cellulaire se trouve la population M1 et M2?

A- M3 ets en G1 et M1 en G2

B- M1 est en phase S et M3 en G2

C- M1 est en prophase de mitose et M3 en télophase

D- M1 est en G1 et M3 en G2


12- A la métaphase 1 de la méiose,

A- Les chromosomes homologues sont appariés sur la plaque équatoriale ce qui permet à chacun des chromosomes d'être entraîné vers un pôle de la cellule.

B- Les chromosomes sont alignés sur la plaque équatoriale, ce qui permet la séparation des chromatides soeurs.

C- Les chromosomes homologues peuvent avoir subi un ou des enjambements

D- A et C

E- B et C

F- Aucune de ces propositions n'est correcte


13a- Si un lymphocyte de sauterelle contient 24 chromosomes

A- Cette cellule est diploïde et contient 2 jeux de 12 chromosomes

B- Cette cellule est haploïde et contient 2 jeux de 12 chromosomes

C- Cette cellule est diploïde et contient 1 jeu de 24 chromosomes

D- Cette cellule est haploïde et contient 1 jeu de 24 chromosomes

 

13b- Si un lymphocyte de sauterelle contient 24 chromosomes. En phase G1, la quantité d'ADN de cette cellule correspondra à

A- 1 complément

B- 2 compléments

C- 24 compléments

D- 48 compléments

 

13b- Si un lymphocyte de sauterelle contient 24 chromosomes. En début de mitose, il y aura donc

A-24 chromatides

B- 48 chromatides

C- 24 chromatides

D- 48 chromosomes

E- B et D

F- A et D

G- B et C

H- A et C

 

Page d'accueil